Feral cats are a huge threat to our native wildlife, hunting and killing an estimated 75 million animals across Australia each and every night. But the killing spree doesn’t end there. There’s a parasite lurking in kitty’s litter that continues to kill wildlife long after the perpetrator has left the scene of the crime.
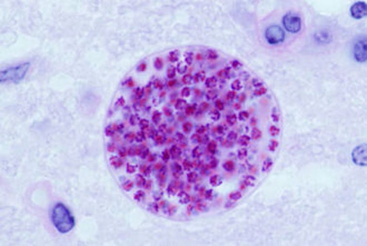
The killer is toxoplasmosis, a disease caused by the parasite Toxoplasma gondii. The parasite is spread by cats but it can infect any bird or mammal. Around one-third of humans worldwide are infected with the parasite. But the deadly effects on our wildlife are often overlooked.
What does toxoplasmosis do?
In many animals, Toxoplasma infection causes nothing more than a mild case of the sniffles. If the animal is healthy, the immune system usually produces antibodies that keep the parasite under control. The parasite then goes into a relatively dormant state, forming invisibly tiny cysts mainly in the heart, lungs, brain, eyes, and spinal cord. While the cysts stay with the animal for life, they rarely cause any direct harm.

But for some animals, infection can be deadly. If an animal’s immune system isn’t quite up to the task, either through illness or stress, the initial infection can lead to toxoplasmosis. The disease has a range of debilitating symptoms, including anorexia, lethargy, reduced coordination, apparent blindness, enlarged lymph nodes, disorientation, breathing difficulties, jaundice, fever, abortion, and death.
Some of these side-effects may kill the host directly, while for others, they will make the host an easier target for predators. For example, blinded wildlife cannot see predators, while lethargic or badly coordinated animals might be too slow to escape.
Another threat to our wildlife
Unfortunately, Australian marsupials are very susceptible to toxoplasmosis. Species such as the eastern barred bandicoot typically die within 2-3 weeks of infection. As a result, toxoplasmosis has thwarted conservation attempts to introduce the species to French Island in Victoria.

But bandicoots are not the only victims. Toxoplasmosis is a confirmed killer of other Australian wildlife, including Tammar wallabies, koalas, wombats, and several small dasyurids.
In Tasmania, toxoplasmosis kills Bennett’s wallabies and pademelons, with infected animals found dead or stumbling around blindly during the day, vulnerable to predators or cars as they stumble onto busy roads.
A manipulative parasite with a motive
For animals lucky enough to survive the initial infection and its symptoms, the threat doesn’t end there. While the parasite might appear to be dormant, it may be secretly manipulating its host’s behaviour.
Several studies have linked certain “risky behaviours” with latent Toxoplasma infection. For example, studies have shown that rats and mice infected with Toxoplasma not only lose their natural fear of cats, but are actually attracted to them.

Why? It all comes down to motive. The Toxoplasma parasite needs to pass through two different animal hosts to complete its life cycle. Some stages of the life cycle can occur in any warm-blooded animal (the intermediate host), but the sexual stages can only occur in a cat (the definitive host).
So when the parasite is in an intermediate host such as a mouse or a rat, it needs to pass back into a cat to complete its life cycle. To achieve this, the parasite manipulates the rodent’s behaviour, making it an easier meal for a cat.
But in wildlife, these risky behaviours will increase the risk of predation – not just by cats, but all predators including foxes, dogs, raptors, and reptiles.
And in a strange evolutionary twist, mothers infected with Toxoplasma have been found to give birth to more sons in both mice and humans. While the reasons for this are unclear, infection with Toxoplasma may gradually skew the sex ratios of our threatened wildlife in favour of males. Over time, this would reduce the number of females in a population, further reducing the reproductive capacity of many declining species and exacerbating ongoing population declines.
Why are feral cats to blame?
Newly infected cats only shed the parasite for around two weeks. However, in that short time, a single cat can shed more than 20 million parasites in their faeces. Thousands of mammals and birds can then become infected by eating food, soil or water contaminated by a single cat. Under cool, humid conditions, these parasites can survive in the environment for at least 18 months, continuing to kill wildlife long after the cat has left the area.
While the parasite can also be transmitted by eating infected prey, studies have shown that marsupials in areas where cats may roam were 14 times more likely to be infected than those in areas without cats. Most responsible pet owners keep their domestic cats indoors and restrict their hunting activities, minimising the risk of infection. But feral cats need to hunt and kill to survive.
Therefore, feral cats are the most important player in the Toxoplasma cycle. To break the cycle and eliminate the parasite, we need to eliminate feral cats.

A recent study found that 84% of feral and stray cats tested in Tasmania were infected with the parasite. Previous studies have found a similarly high prevalence in feral cats on both Christmas Island and Kangaroo Island.
These islands are currently refuges for a range of endemic and threatened species, many that have been driven to extinction on the Australian mainland. While Christmas Island has recently been earmarked for feral cat eradication, all three island refuges should be prioritised for targeted feral cat control programs.
Toxoplasmosis is yet another threat posed by feral cats against wildlife. The future of many of Australia’s threatened species increasingly hinges on our ability to control feral cats.
