People looking for proof that men and women learn, speak, solve problems or read maps differently often think brain scanners are the ultimate answer. And it’s easy to see why. Whether you want to advocate separate schools for girls and boys or sex-segregated training of our armed forces, you can be sure to find brightly colour-coded maps highlighting differences between males and females in various brain areas – potentially backing up your argument.
The power of “neuro” has been firmly harnessed in the ongoing debate about the differences between men and women. Enthusiastic references to “cutting edge neuroscience” are constantly used by people making assumptions about sex differences – ranging from marketers to politicians and pressure groups.
The idea that the brain is responsible for sex/gender differences or imbalances has been with us for a long time. In the 18th century, scientists discovered that women’s brains weigh on average five ounces less than men’s – something that was immediately interpreted as a sign of inferiority. Since then, women’s brains have continued to be be weighed, measured and found wanting. This has been underpinned by a belief in “biological determinism” – the idea that biological differences reflect the natural order of things, to be meddled with at society’s peril.
Unfortunately, this is still happening today. “Neurosexism” is the practice of claiming that there are fixed differences between female and male brains, which can explain women’s inferiority or unsuitability for certain roles. By spotting sex-dependent activity in certain brain regions – such as those associated with empathising, learning languages or spatial processing – neurosexist studies have allowed an established “go-to list” of sex differences to flourish. This includes things such as men being more logical and women being better at languages or nurturing.
Sex differences on a spectrum
Brain imaging techniques have simultaneously offered an increasingly detailed profiling of brain activity, giving researchers access to enormous data-sets. There has also been a discovery that our brains can actually be moulded by different experiences, including those associated with being male or female. This clearly illustrates the problem of the biological determinist approach. It also shows the need to account for variables such as education, and economic and social status when comparing brain characteristics.

Psychologists have also started to show that many of the psychological traits we think of as either male or female actually exist on a spectrum. A recent study revisiting a number of such behavioural characteristics, showed that they typically do not fall into two neat, non-overlapping binary categories. Even men’s “superior” skills in spatial cognition – a well-established stalwart – has been shown to be diminishing over time, even disappearing. In certain cultures, the situation is actually reversed.
And it doesn’t end there. The very concept of a “male” and “female” brain has been found to be flawed. A recently reported study showed that every brain is actually a mosaic of different patterns, some more commonly found in men’s brains and some in women’s. But none could be described as fully male or fully female.
Yet the old neuro-nonsense arguments have not gone away. Everyone loves a sex difference story, particularly one that can be illustrated with a brain image. Self-help books, adverts, newspaper articles and social media fasten on such stories – even those that are almost immediately challenged.
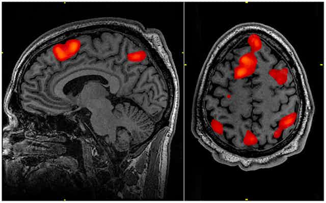
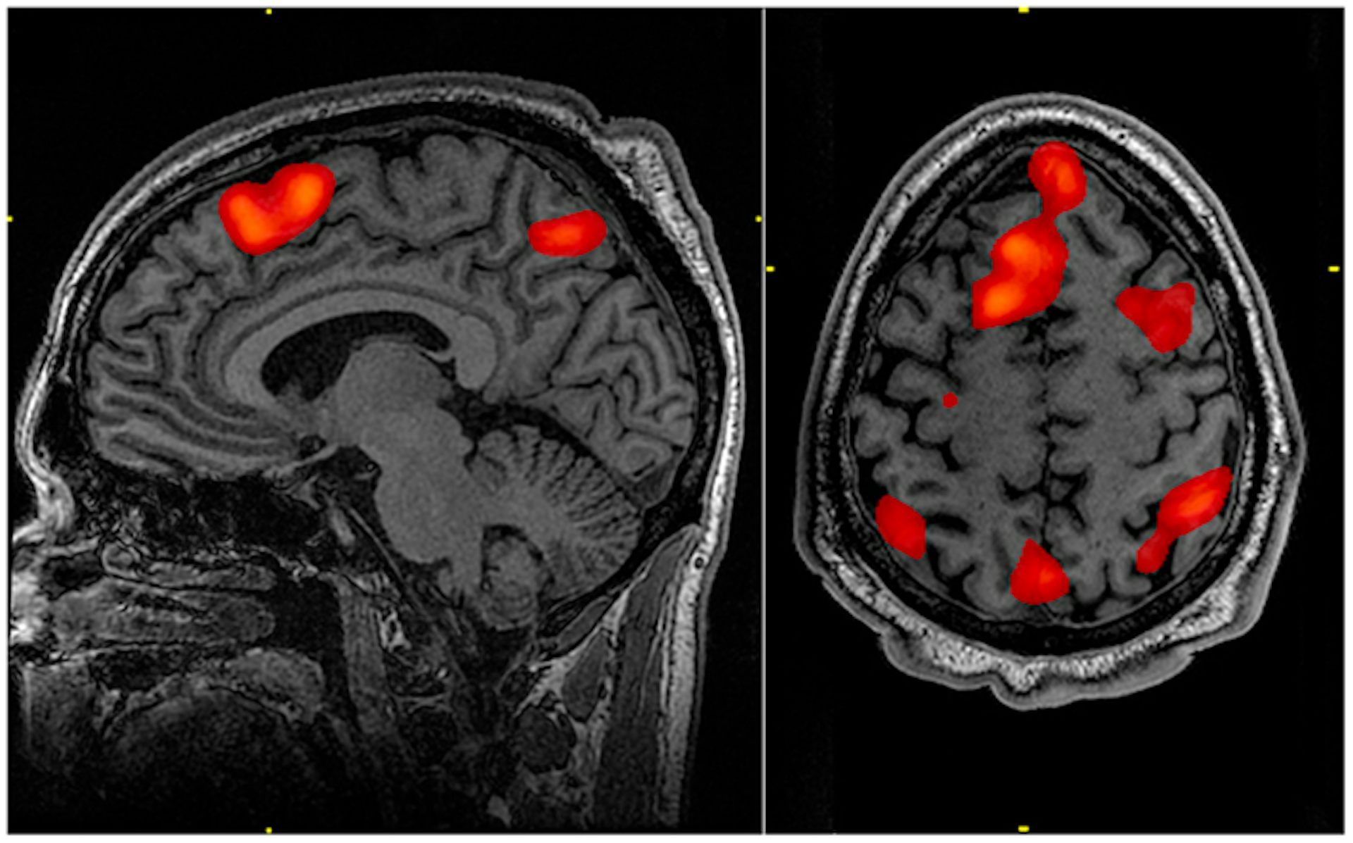
Such populist neuroscience is often based on a flawed model of what brain imaging can do. It tends to present it as a kind of “cinéma vérité”, offering real-time, instant access to clearly definable brain structures and functions. But brain maps are actually the end-product of a long chain of image-manipulation and complex statistical processing, specifically designed to highlight differences. They do not tell us what any one brain will do in any one situation.
Dealing with neurotrash
But as easy as it is to blame the media or marketing industry, this kind of neuro-trash is often sustained by the neuroimaging community itself. Researchers often fail to take sufficient care to acknowledge the role of wider variables in designing a study or selecting participants. Terms like “fundamental” or “profound” are often found in the abstracts of sex difference studies, even when close inspection of the data tables reveals tiny effects or statistically insignificant results.

There are also examples of researchers interpreting findings in terms of outdated stereotypical differences. For example, they may assume men’s spatial superiority or women’s linguistic prowess when these were not even measured in the scanning phase. Apart from being a questionable scientific practice, such studies feed back into the neurotrash supply and continue the belief that, however inconvenient the “truth”, men and women are immutably different.
Challenging neurosexism is not to deny the existence of any sex differences, although the accusation has been made. For example, mental health research has shown important sex differences in the incidence of conditions such as depression, ADHD and autism. Acknowledging such differences could be key in finding the appropriate treatments.
But, as we now know that the concept of a “male” and “female” brain is flawed and that the go-to list for sex-based psychological differences isn’t up to scratch, we need to stop focusing on the binary category of biological sex as their source. It may take time to challenge such long-held beliefs. But ensuring that scientists, the media and the wider public are aware of the problem is a good place to start.
